Servicios
Atención especializada en neurocirugía y cirugía de columna para tu bienestar
Neurocirugía general
Atención integral para diversas condiciones del sistema nervioso central y periférico.


Cirugía de columna
Tratamientos avanzados para hernias de disco, ciática, estenosis espinal y otras patologías vertebrales.
Diagnóstico y manejo quirúrgico de tumores cerebrales (meningiomas, gliomas, metástasis, etc) y de médula espinal.
Tratamiento de tumores






Hidrocefalia
Diagnóstico y manejo quirúrgico de la hidrocefalia.










Biopsias cerebrales
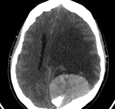
Hemorragias cerebrales
Procedimientos de mínima invasión para diagnóstico de enfermedades neurológicas.
Diagnóstico y manejo quirúrgico de hematomas y hemorragias cerebrales.
Neuralgia del trigémino
Aneurismas cerebrales
Tratamiento especializado para el dolor facial (neuralgia) y el espasmo facial.
Diagnóstico y manejo quirúrgico de aneurismas cerebrales.
Excelencia en neurocirugía para tu bienestar neurológico


Trato humano y atención personalizada
Cada paciente es único. Por ello, dedico el tiempo necesario para escuchar, explicar claramente el diagnóstico y resolver todas las dudas. Mi objetivo es que cada persona reciba una atención cercana, ética y profesional, acompañándola en cada etapa de su tratamiento.
Innovación y experiencia
Como neurocirujano, combino años de formación y experiencia para ofrecer a cada paciente las mejores opciones de tratamiento. Mi enfoque es humano y personalizado, porque entiendo que cada persona merece una atención cercana, clara y de confianza. Me dedico al diagnóstico y tratamiento de enfermedades complejas del cerebro y la columna vertebral, incluyendo tumores cerebrales, padecimientos de la columna y trastornos del dolor, siempre con el objetivo de mejorar la calidad de vida de mis pacientes.
© 2026 Dr. Jesús Eduardo Falcón Molina Neurocirugía y Cirugía de columna vertebral
Aviso de Publicidad: 2609092002A00037
