Dr. Jesús Eduardo Falcón Molina
Especialista en Neurocirugía y cirugía de columna en CDMX
Tu Salud Neurológica en manos expertas
En mi consultorio ofrezco diagnóstico y tratamiento especializado de enfermedades del cerebro y la columna vertebral. Mi objetivo es brindar una atención médica de alta calidad, basada en la experiencia, la tecnología y un trato humano, buscando siempre la mejor recuperación y calidad de vida para cada paciente.
Servicios
Atención especializada en neurocirugía y cirugía de columna para tu bienestar
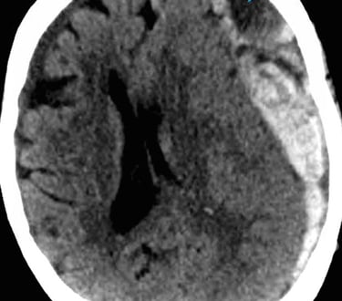
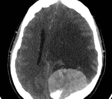
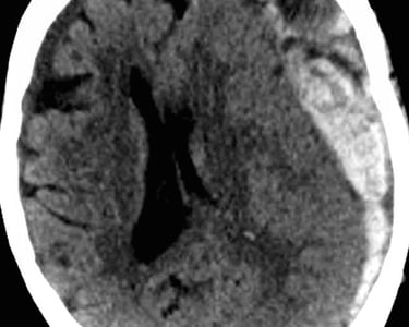
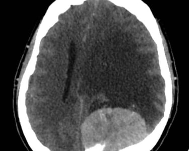
Neurocirugía


Dolor de cabeza
Hidrocefalia
Tumores cerebrales y espinales
Aneurismas cerebrales
Traumatismos craneoencefálicos
Hemorragias cerebrales
Neuralgia del trigémino
Biopsias cerebrales
Cirugía de columna
Dolor de cuello
Dolor de espalda
Ciática
Hernia de disco
Cirugía mínimamente invasiva
Acerca del Dr. Jesús Eduardo Falcón Molina, especialista en Enfermedades Neurológicas en la Ciudad de México
Cédula Profesional: 12050779
Cédula Especialidad: 15559192
Certificado por el Consejo Mexicano de Cirugía Neurológica, A.C. No. 1750
Mi compromiso como neurocirujano es ofrecer una atención médica de alta calidad, combinando experiencia, tecnología y un trato humano. Cada paciente recibe una evaluación personalizada para encontrar la mejor opción de tratamiento. Me especializo en el manejo de enfermedades del cerebro y la columna vertebral, incluyendo tumores cerebrales, padecimientos de la columna y trastornos del dolor, siempre con el objetivo de mejorar tu calidad de vida.






Contacto
Hospital MAC La Viga Consultorio 929
Av. Calzada La Viga No. 1174 Col. El Triunfo C.P. 09430, Iztapalapa Ciudad de México
Horario de atención:
Lunes a viernes
15:00 horas - 21:00 horas
Sábado y Domingo
10:00 horas - 13:00 horas
© 2026 Dr. Jesús Eduardo Falcón Molina Neurocirugía y Cirugía de columna vertebral
Aviso de Publicidad: 2609092002A00037
